PROFIN DIRECTIONAL SYSTEM
Κατασκευαστής: DENTATUS
Κωδικός Προϊόντος:
Διαθέσιμο
Διαθέσιμες Επιλογές
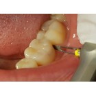
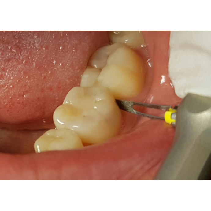
Σύστηµα χειρολαβής και άκρων µε παλινδροµική κίνηση, για το φινίρισµα και τη στίλβωση όλων των τύπων αποκαταστάσεων και όλων των οδοντικών επιφανειών.
Το Profin Directional System, µε την ακριβή κι ελεγχόµενη παλινδροµική κίνηση κατά 1.2 mm, είναι ιδανικό για λεπτεπίλεπτη κι ασφαλή διαµόρφωση, δηµιουργία περιγράµµατος και στίλβωση τόσο των φυσικών δοντιών όσο και των αποκαταστάσεων όλων των τύπων.
Το σύστηµα Profin είναι ένα εξαιρετικό εργαλείο:
- για τελειοποίηση των µεσοδόντιων, ουλικών και κοπτικών προεξοχών σε ένα φυσικό σχήµα
- για δηµιουργία περιγράµµατος κι εξατοµίκευση προσθίων αποκαταστάσεων
- για αναδιαµόρφωση οδοντικών επιφανειών που έρχονται σε επαφή
- για λεπτό φινίρισµα ορίων κεραµικών ή µεταλλικών αποκαταστάσεων, πριν τη συγκόλληση
- για εξάλειψη υποσκαφών σε παρασκευές για CAD/CAM αποκαταστάσεις
- για καθαρισμό εμφυτευμάτων
- για ασφαλή μείωση όμορων επιφανειών (δημιουργία χώρου στην Ορθοδοντική)
Profin PDX Starter Kit
Περιλαµβάνει:
- 1 χειρολαβή Profin PDX
- 5 Lamineer Tips διαµόρφωσης και φινιρίσµατος (LTA-150, LTA-30, LTA-39, LTA-S100, LTA-S50)
- 30 πλαστικά άκρα για στίλβωση
1 έµβολο για τα άκρα - 1 βάση για τα άκρα
- Σκληρή ανοδιωμένη επιφάνεια με μεγάλη αντίσταση στις εκδορές
- Κεφαλή μινιατούρα για καλύτερη πρόσβαση σε δυσπρόσιτες περιοχές
- Λεία επιφάνεια που δεν γυαλίζει, με χρώμα χαμηλής αντίθεσης
- Εργονομικό σχέδιο με καλό κράτημα


